Você está em: Página Inicial > Cotidiano
Casos e mortes por tuberculose voltam a crescer no Paraná e no Brasil
Nos últimos 10 anos, mais de 50 mil pessoas morreram por conta da doença em todo o país, com 1,5 mil óbitos no estado
Por Bem Parana | Postado em: 24/03/2026 - 08:51

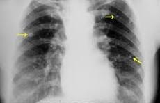
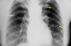
A tuberculose é ainda hoje um grave problema de saúde pública. E no Brasil e no Paraná, o número de casos e até mesmo de mortes causadas pela doença estão em alta. É o que revelam dados do Sistema de Informações sobre Mortalidade (SIM), do Ministério da Saúde, os quais apontam que nos últimos 10 anos foram registrados 954.595 casos da doença em todo o país, com 50.705 mortes. O Paraná, por sua vez, foi responsável por 26.645 casos da doença, com 1.579 óbitos.

De acordo com a Fundação Oswaldo Cruz (Fiocruz), a tuberculose é uma doença transmitida por uma bactéria (bacilo) chamada Mycobacterium tuberculosis. Embora afete principalmente os pulmões, ela também pode atingir outros órgãos e sistemas do nosso corpo, sendo transmitida pelo ar, quando as pessoas infectadas tossem, espirram ou cospem.

Os sintomas mais comuns da doença envolvem tosse com ou sem secreção (catarro) por mais de quatro semanas; cansaço; febre baixa, geralmente à tarde; suor noturno; falta de apetite; palidez; perda de peso; e fraqueza; Muitas vezes, porém, esses sintomas são levas e duram por meses, o que acarreta numa demora na busca por atendimento médico. Contudo, é fundamental buscar auxílio o quanto antes, para que o tratamento funcione e também para evitar infectar outras pessoas.

Quase 3 mil casos e 200 mortes por ano no Paraná

No Brasil, o número de ocorrências de tuberculose deu um verdadeiro salto ao longo da última década. Em 2015, registrou-se 85.462 diagnósticos da doença. Em 2025 (último ano com dados disponíveis), já se chegou a 112.988 – um aumento de 32,2%. Da mesma forma, as mortes causadas pela enfermidade também cresceram expressivamente, passando de 4.610 registros para 6.376 em 10 anos – um avanço de 38,3%.

 

Dentro desse contexto, o Paraná também viu a doença ganhar “novo fôlego” no estado. Em 2015, diagnosticou-se 2.466 casos de tuberculose no estado. Em 2024, já houve 3.067 ocorrências – um avanço de 24,4%. O número de óbitos, por outro lado, cresceu de forma mais expressiva: +54,4%, passando de 125 registros para 193. O ano com mais mortes no estado, no entanto, foi 2023, com 210 casos.

Como prevenir ou tratar a tuberculose

O tratamento é feito da forma indicada pelo médico, com esquema preconizado pelo Ministério da Saúde com 4 medicamentos (rifampicina, isoniazida, pirazinamida e etambutol), por um período de seis meses a um ano. O Sistema Único de Saúde (SUS) oferece tratamento gratuito, mas o paciente precisa segui-lo à risca. Caso contrário, a doença pode se tornar resistente aos remédios e se espalhar para outros órgãos e sistemas do corpo.

Já a principal forma de prevenção da tuberculose é a vacina BCG, também oferecida de graça no SUS. Ela deve ser aplicada nas crianças logo ao nascer ou, no máximo, antes dos 5 anos de idade, e protege contra as formas mais graves da tuberculose. Além disso, também é sempre importante avaliar os familiares e outros contatos do paciente com a doença para que não desenvolvam a forma ativa da tuberculose.

 

Últimas Notícias
Cotidiano 24 Mar às 08:19
O sorteio terá transmissão ao vivo pelo canal da Caixa no YouTube e no Facebook das Loterias Caixa
Cotidiano 24 Mar às 08:15
Nova regra exige espaço exclusivo para os medicamentos e presença obrigatória de um farmacêutico durante todo o horário de funcionamento
Cotidiano 24 Mar às 08:08
Em boletim médico divulgado mais cedo, hospital havia informado que ex-presidente poderia receber alta "nas próximas 24 horas", caso a evolução clínica evoluísse
Cotidiano 23 Mar às 08:50
A meta é imunizar 90% de cada um dos grupos prioritários para vacinação de rotina contra influenza
Cotidiano 23 Mar às 07:54
Principal alteração para 2026 é o aumento da faixa de isenção do IRPF para cerca de 15 milhões de brasileiros que ganham até R$ 5 mil por mês
Cotidiano 23 Mar às 07:51
Tragédia aconteceu durante a manhã de domingo e mobilizou equipes de resgate na região
Cotidiano 20 Mar às 09:35
Lançamento destacou o Costelão Recheado, o Café Colonial e uma agenda de shows que se estende por todo o ano
Trazendo o melhor da nossa cidade e região
Tags Populares
Social
Tecnologia e desenvolvimento